White spots on teeth can often evoke feelings of concern and confusion, as they may signal underlying dental issues or simply be an aesthetic concern. Understanding the myriad reasons behind these unsightly markings is crucial for both oral health awareness and aesthetic preferences. This article delves deep into the various causes of white spots on teeth, the mechanisms by which they develop, and potential remedies to restore dental harmony.
Firstly, it’s important to recognize the anatomy of teeth. Comprising enamel, dentin, and pulp, each layer plays a vital role in safeguarding tooth integrity. The visible outer layer, enamel, is the hardest substance in the body but is susceptible to various factors that can lead to the manifestation of white spots.
1. Enamel Hypoplasia
Enamel hypoplasia is a developmental disorder characterized by insufficient enamel formation. This condition can result in thin, deficient enamel that may present as white or discolored spots on the surface of the teeth. It often arises during infancy when the teeth are still developing and can be attributed to several factors, including nutritional deficiencies (such as calcium or vitamin D), maternal illness during pregnancy, or trauma during early tooth development.
2. Dental Fluorosis
Excessive fluoride exposure during childhood, particularly during the critical years of tooth development, can lead to dental fluorosis. This condition manifests as white spots or streaks on the enamel, with varying severity based upon the quantity of fluoride ingestion. While fluoride is beneficial in preventing cavities, moderation is essential. Monitoring fluoride levels in drinking water and toothpaste is crucial to avoid this aesthetic dilemma.
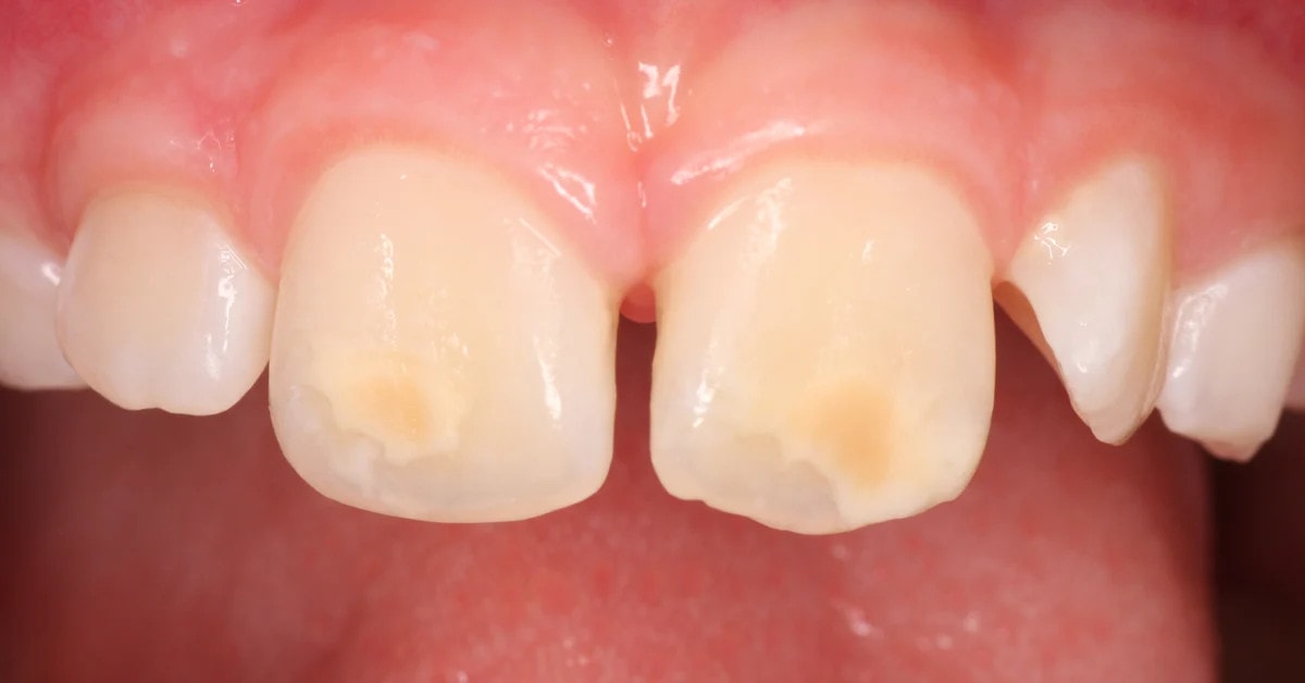
3. Dental Caries
Surprisingly, white spots may also indicate the early stages of tooth decay. Initially manifesting as chalky white lesions, these spots can evolve into more severe cavities if not properly addressed. This phenomenon is often the result of demineralization due to bacterial acid attacks, particularly from poor oral hygiene habits or a diet high in sugars. Regular dental check-ups and a diligent oral hygiene routine can help deter this progression.
4. Acidic Foods and Drinks
Consuming acidic foods and beverages can also contribute to the appearance of white spots on teeth. Items such as citrus fruits, sodas, and vinegars can erode enamel and lead to areas of demineralization. This type of enamel degradation can leave the underlying dentin exposed, presenting a stark contrast that appears as white specks. It is prudent to balance acidic indulgences with water intake to help neutralize acidity post-consumption.
5. Poor Oral Hygiene
The role of oral hygiene cannot be overstated. Inadequate brushing and flossing can lead to plaque and tartar build-up, creating an environment conducive to demineralization. White spots may emerge due to the bacteria present in plaque, as they produce acids that erode enamel. Establishing a consistent oral care routine, characterized by regular brushing with fluoride toothpaste and flossing, is indispensable for maintaining tooth health.
6. Dietary Habits
Your diet plays a pivotal role in the appearance of your teeth. A diet abundant in carbohydrates and sugars can encourage bacteria growth and plaque accumulation, precipitating the development of white spots. Conversely, a diet rich in calcium and phosphates, found in dairy products and leafy greens, can bolster enamel strength and combat the unsightly manifestations of poor dietary choices.
7. Genetic Factors
Interestingly, genetics can also influence dental appearance. Individuals may inherit traits that predispose them to enamel irregularities or greater susceptibility to stains. Genetic predisposition can sometimes make it challenging to maintain enamel integrity, resulting in the emergence of white spots regardless of diligent oral health practices.
8. Medication and Medical Conditions
Certain medications, particularly those containing tetracycline, can alter the mineralization of teeth, leading to white spots. Additionally, medical conditions such as celiac disease or asthma, particularly when accompanied by chronic use of inhalers, can detrimentally affect enamel health. Increased scrutiny on dietary and medicinal choices may help mitigate these effects on dental aesthetics.
9. Preventive Measures
Maintaining optimal oral health is crucial for the prevention of white spots. This entails regular dental visits for professional cleanings, applications of fluoride treatments, nutritional counseling, and potentially sealing teeth to prevent further deterioration. A proactive approach to oral hygiene that includes a balanced diet and mindful consumption of acidic substances can significantly reduce the likelihood of white spot development.
In conclusion, white spots on teeth may stem from an amalgamation of factors ranging from developmental issues and dietary habits to oral hygiene shortcomings and genetic predispositions. Identifying the root cause is essential for effective management and resolution. By adhering to vigilant oral care practices and seeking professional advice, it is possible to mitigate the occurrence of these spots and maintain the radiant smile that everyone desires. Prioritizing dental health is not merely a matter of aesthetics; it is an investment in one’s overall well-being.









Leave a Comment